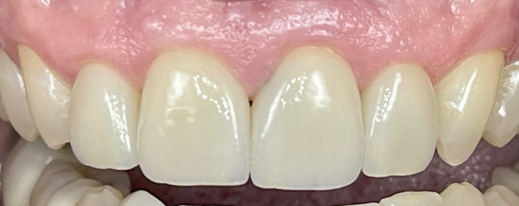
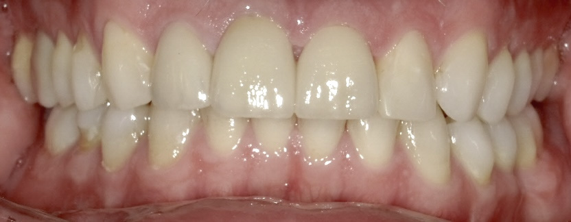
Die Zahnärztin oder der Zahnarzt kann die Schalen zum Beispiel bei einem verfärbten Zahn, vorhandenen Lücken zwischen den Zähnen, bei größeren Defekten oder abgebrochenen Ecken auf den Zahn aufkleben. Veneers geben dem Zahn sein natürliches Aussehen zurück. Dabei wird weniger gesunde Zahnsubstanz abgetragen als bei klassischem Zahnersatz wie z.B. einer Krone. Diese bis zu 0,3mm dünnen Kontaktlinsen werden bei uns aus E.max hergestellt.
- Die dünnen Keramikschalen kommen häufig zum Einsatz bei:
- inneren Verfärbungen des Zahns,
- Zahnschmelz-Fehlbildungen,
- großen sichtbaren Füllungen der Zähne,
- unfallgeschädigten Zähnen,
- um schmale Lücken zu schließen (z.B. Diastema),
- um die Form eines Zahns zu verbessern,
- um leichte Zahnfehlstellungen auszugleichen.
Veneers sind mehr als reine Kosmetik für den Zahn.
Wir beraten Sie gerne und besprechen mit Ihnen Ihre individuellen Behandlungsmöglichkeiten.


